
CEREC by Sirona Dental Systems is the world's only system for the fabrication of all ceramic dental restorations in one office visit. With CEREC at your dentist's side, you can be in and out in a single visit with a permanent, all ceramic crown, onlay, or veneer! For you, the patient, this means fewer injections, less drilling, and less time out of your hectic schedule for dental care. So, why are thousands of people world wide choosing the CEREC restorative technique for their dental needs?
Most dental restorative methods require more than one visit to the dentist. This means that on the first visit, you get an injection of anesthesia, your tooth prepared, an impression taken, and a temporary restoration put on your tooth. You make a second appointment for a couple of weeks later, get another injection, have the temporary pried off (if it hasn't fallen off already), and have a permanent restoration put on. Why go to the dentist a second time when you don't have to? With CEREC, the procedure is done in a single appointment, start to finish.
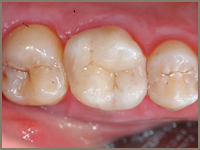
A CEREC tooth restoration isn't just convenient, it is also healthy. Many years ago, dentists had few options to repair decayed and damaged teeth other than amalgam, gold, and other metals. With CEREC, your dentist can use strong, tooth colored ceramic materials to restore your teeth to their natural strength, beauty, and function. These materials closely match the composition of natural tooth structure. This means when you eat hot food and then drink something cold, the restoration and tooth expand and contract at almost equal rates. So, your tooth does not crack, and you can go on enjoying your evening. Also, the materials are chemically bonded to your tooth, so your dentist can save as much healthy tooth tissue as possible while providing you with a dental restoration that strengthens your tooth.
Your dentist can use CEREC for more than just crowns and fillings. CEREC is capable of producing any single tooth restoration. Chipped or discolored front teeth can be repaired with beautiful CEREC porcelain anterior crowns or veneers. Your smile makes a lasting first impression.
Worldwide, a CEREC restoration is placed every 20 seconds. With a history of nearly 20 years, this equipment has helped dentists place over 6 million restorations. Using metal free materials that are the closest to your natural enamel, CEREC gives you the highest quality restorative care. Ask your dentist today about single visit CEREC restorative care!
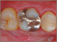
Let's face it, very few of us have perfect teeth, free of decay and fillings. You can probably see a filling or two in your own mouth, which do just that -- "fill" a cavity, or hole, in your tooth left from the excavation of decayed tooth structure. In many cases, those fillings are made of metal material and can go bad, weaken the tooth, or get additional decay under or around it. In fact, 1.2 billion of these metal fillings will need to be replaced in the next 10 years.* CEREC is a method used by thousands of dentists worldwide since 1987 not only to replace these fillings, but also to restore any tooth that is decayed, weakened, broken, etc. to its natural strength and beauty. Better yet, it's done with all-ceramic materials that are tooth colored in a single appointment! So, how does the CEREC procedure work?
First, your Dentist examines the tooth and determines the appropriate treatment. It could be a simple filling, or a full crown, depending on how much healthy tooth structure is remaining and the clinical judgement of your Dentist. Next, he or she administers an anesthetic and prepares your tooth for the restoration, removing decayed and weakened tooth tissue. This preparation is just like he or she would do for many other restorative techniques.
Then, your Dentist takes an Optical Impression of the prepared tooth. Instead of filling a tray with impression "goop" that you must bite into and hold in your mouth until it hardens, your Dentist coats the tooth with a non-toxic, tasteless powder. A camera is then used to take a digital picture of your tooth. This whole Optical Impression process only takes a minute or two.
Next, the CEREC machine helps the Dentist create the restoration for your tooth. The CEREC 3D software takes the digital picture and converts it into a 3-dimensional virtual model on the computer screen. Your Dentist then uses his or her dental expertise to design the restoration using the CEREC 3D computer program. Within a few minutes, your Dentist clicks a button, and the restoration design data is sent to a separate milling machine in the office. A ceramic block that matches your tooth shade is placed in the milling machine. About 10 - 20 minutes later, your all-ceramic, tooth-colored restoration is finished and ready to bond in place. Finally, your Dentist tries the restoration in your mouth to ensure proper fit and bite. The restoration is then polished and bonded to the prepared tooth. Your tooth is restored with no "temporary" or return trip necessary. All of this is done in a single appointment! Ask your Dentist about CEREC today.